근전도검사 후에도 어깨날개뼈 통증이 남는 이유는?
왜 근전도검사를 받았는데도 어깨 통증이 계속될까요?
"몇 달 전 어깨 통증으로 근전도검사를 받았는데 아직도 날개뼈 쪽이 쑤시고 아파요. 팔을 들어올리기도 힘들고요." 지난주 일산동구에서 내원하신 40대 중반 남성 환자분의 호소였습니다. 사무직으로 일하시면서 틈틈이 헬스장에서 운동을 즐기던 분이었는데, 6개월 전부터 시작된 어깨 통증이 근전도검사를 받은 후에도 호전되지 않아 답답해하셨습니다.
근전도검사는 근육의 전기적 활동을 측정하여 신경과 근육의 상태를 평가하는 중요한 진단 도구입니다. 하지만 검사 결과가 정상으로 나오거나 특별한 이상 소견이 발견되지 않았음에도 불구하고 어깨날개뼈 부위의 통증이 지속되는 경우가 적지 않습니다. 최근 프랑스에서 발표된 연구에서는 이러한 현상의 원인 중 하나로 배측견갑신경병증에 의한 동적 신경압박을 주목하고 있습니다.
원제: Scapular winging due to rhomboid muscle paralysis: clinical assessment of 4 cases and anatomic study of the dorsal scapular nerve
이 연구는 기존의 정적인 신경압박 이론과 달리, 팔을 들어올릴 때 발생하는 동적 압박이 견갑골 익상변형과 지속적인 통증의 주요 원인일 수 있음을 해부학적으로 입증했습니다.
Figure 1. 배측견갑신경병증으로 인한 견갑골 익상변형의 임상적 소견을 우측 어깨에서 보여주는 사진입니다. (A) 전형적인 우측 능형근(rhomboid muscle) 마비의 모습으로, 견갑골 내측연 원위부와 하각에 중등도의 익상변형이 나타나며 견갑골이 외측과 근위부로 약간 변위되어 있고, 승모근(trapezoid muscle) 근위부와 견갑거근(levator scapulae muscle)의 보상작용으로 견갑골이 약간 상승된 상태입니다. (B) 팔을 저항에 대항하여 들어올릴 때 승모근의 관여가 더욱 뚜렷해지며, 견갑골 내측연 원위부와 하각의 익상변형이 더욱 두드러지게 나타납니다. 이러한 견갑골 익상변형의 정도와 패턴을 통해 배측견갑신경병증의 진행 정도를 임상적으로 평가할 수 있습니다.
배측견갑신경이 압박되면 어떤 증상이 나타나나요?
배측견갑신경은 주로 5번째 경추신경(C5)에서 기원하는 운동신경으로, 능형근의 움직임을 담당합니다. 이 신경이 압박을 받게 되면 능형근 마비가 발생하여 견갑골의 내측 경계부가 날개처럼 튀어나오는 익상변형이 나타납니다. 특히 견갑골 하각의 외측 회전을 동반하는 것이 특징입니다.
기존 연구들에서는 배측견갑신경 압박의 주요 원인을 중간 사각근 통과 시 발생하는 압박으로 보았습니다. 하지만 이번 연구진이 시행한 해부학적 분석에서는 모든 해부 표본에서 배측견갑신경이 중간 사각근을 통과하지 않는 것으로 확인되었습니다. 대신 팔을 90도 이상 들어올릴 때 견갑골 내측 경계부 근위부에 의한 동적 압박이 주요 병인으로 제시되었습니다.
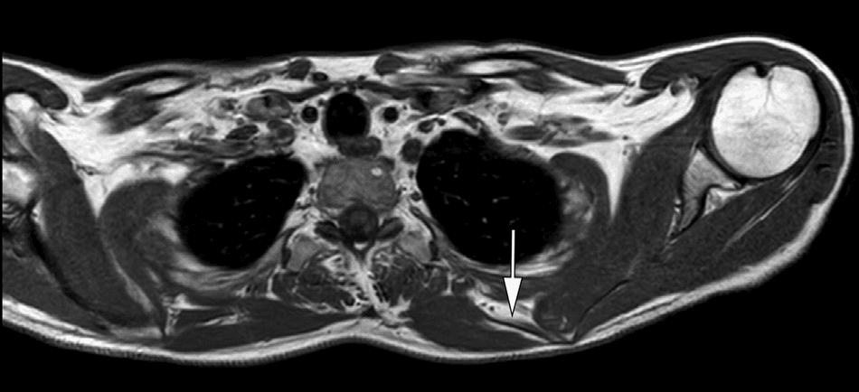
Figure 2. 좌측 대능형근(major rhomboid muscle)의 위축을 보여주는 자기공명영상(MRI) T1 강조 축상면 영상입니다. 영상에서 좌측 대능형근의 근위축이 명확하게 관찰되며, 이는 배측견갑신경병증으로 인한 신경지배 근육의 변성을 의미합니다. MRI를 통한 근위축의 확인은 배측견갑신경병증의 진단과 중증도 평가에 중요한 영상학적 근거를 제공합니다.
이번 연구는 어떻게 진행되었나요?
연구진은 배측견갑신경병증으로 인한 견갑골 익상변형을 보이는 4명의 환자를 대상으로 임상 분석을 실시했습니다. 환자군은 남성 2명, 여성 2명으로 구성되었으며 평균 연령은 40세(범위: 33-51세)였습니다. 오른손잡이 3명, 왼손잡이 1명이었으며, 견갑골 익상변형은 모든 경우에서 우세손 쪽에 나타났습니다.
환자들의 직업적 특성을 살펴보면 2명이 무거운 물건을 다루는 육체적 노동에 종사했으며, 스포츠 활동으로는 댄싱, 복싱, 체조, 근력 강화 운동 등 팔을 많이 사용하는 운동을 하고 있었습니다. 모든 환자에게 신경전도검사를 시행하여 배측견갑신경의 단독 신경병증을 확진했습니다.
치료 방법으로는 특별히 고안된 재활치료 프로토콜을 적용했습니다. 또한 연구의 해부학적 근거를 마련하기 위해 6구의 신선한 해부체를 이용하여 배측견갑신경의 주행 경로와 잠재적 압박 부위를 분석했습니다. 특히 팔을 들어올릴 때 발생하는 동적 압박 구역을 중점적으로 관찰했습니다.
Figure 3. 배측견갑신경의 동적 압박 기전을 설명하는 후방 해부학적 도식입니다. (A) 팔이 몸과 평행한 상태에서 능형근을 제거한 해부도로, 배측견갑신경(1), 견갑거근(2), 견갑골 내측연 근위부(3), 광배근(4)의 해부학적 관계를 보여줍니다. (B) 팔을 들어올릴 때 견갑골 내측연 근위부가 배측견갑신경을 압박하는 동적 압박 구역(zone of dynamic compression)을 나타냅니다. 이는 팔의 움직임에 따른 동적 신경 압박이 배측견갑신경병증의 주요 병인임을 해부학적으로 입증하는 중요한 소견입니다.
연구 결과 무엇이 밝혀졌나요?
4명의 환자 모두에서 완전한 견갑골 익상변형 교정은 이루어지지 않았습니다. 이는 배측견갑신경병증의 치료가 단순히 신경압박을 해제하는 것만으로는 충분하지 않음을 시사합니다. 3명의 환자에서 신경병성 통증 진단 설문(DN4) 점수 2점에 해당하는 잔존 신경병성 통증이 지속되었습니다.
기능적 평가에서 치료 후 평균 Quick-DASH 점수는 31.8점(100점 만점), 평균 ASES 점수는 56.2점으로 나타났습니다. 이러한 수치는 상당한 기능적 제약이 여전히 남아있음을 보여줍니다. 특히 주목할 점은 전문 재활센터에서 치료를 받은 1명의 환자에서만 추적 신경전도검사상 능형근의 탈신경 소견이 소실되고 원위부 운동 잠복기가 정상화되었다는 점입니다.
해부학적 연구에서는 모든 해부체에서 배측견갑신경이 5번째 경추신경근에서 기원했으며, 중간 사각근을 통과하지 않는 것으로 확인되었습니다. 가장 중요한 발견은 팔을 들어올릴 때 견갑골 내측 경계부의 근위부에 의한 배측견갑신경의 동적 압박 부위를 확인한 것입니다.

이 연구가 임상적으로 왜 중요한가요?
이번 연구는 기존의 배측견갑신경 압박 이론에 중요한 패러다임 전환을 제시합니다. 지금까지는 중간 사각근 통과 시 발생하는 정적 압박이 주요 원인으로 여겨졌지만, 실제로는 팔을 90도 이상 들어올릴 때 견갑골 자체에 의한 동적 압박이 핵심 병인임을 해부학적으로 입증했습니다.
이러한 발견은 치료 접근법에도 변화를 가져옵니다. 기존의 수술적 신경 감압술이나 단순한 물리치료로는 한계가 있으며, 견갑골의 동적 움직임을 고려한 포괄적인 재활치료가 필요함을 시사합니다. 특히 다학제적 팀 접근을 통한 전문적인 재활센터 치료의 중요성이 강조되었습니다.
연구진은 또한 이 질환의 진단과 치료에 있어서 몇 가지 한계점을 인정했습니다. 완전한 기능 회복이 어렵고, 상당수 환자에서 잔존 신경병성 통증이 지속된다는 점, 그리고 환자의 치료 순응도가 결과에 큰 영향을 미친다는 점입니다.

한의학에서는 이런 신경압박을 어떻게 바라보나요?
한의학적 관점에서 배측견갑신경의 동적 압박은 기혈순환 장애와 근막 긴장 패턴의 불균형으로 해석할 수 있습니다. 견갑골 주변의 근육들이 서로 조화롭게 움직이지 못하고 특정 부위에 과도한 긴장이 집중되면서 신경압박이 발생하는 것으로 봅니다.
특히 견갑골 내측 경계부는 방광경과 소장경이 지나가는 중요한 경락 구역입니다. 이 부위의 기혈 정체는 근육의 경직과 염증을 유발하여 신경압박을 악화시킬 수 있습니다. 침치료를 통해서는 견갑골 주변의 특정 혈위에 자극을 가하여 근육 긴장을 완화하고 신경 주변의 혈류를 개선시킵니다.
또한 약침요법을 활용하여 염증성 사이토카인을 억제하고 손상된 신경의 재생을 촉진할 수 있습니다. 추나치료는 견갑골의 정렬을 개선하고 동적 압박 구역에서의 기계적 스트레스를 감소시키는 데 효과적입니다. 한약 처방을 통해서는 전신적인 기혈순환을 개선하면서 국소적인 염증 반응을 조절하는 접근이 가능합니다.

어깨 통증 완화를 위해 생활에서 무엇을 실천할 수 있을까요?
팔을 90도 이상 들어올리는 동작을 반복할 때는 견갑골 안정화 근육들이 충분히 활성화되도록 주의해야 합니다. 무거운 물건을 머리 위로 들어올릴 때는 몸통을 곧게 유지하면서 견갑골이 과도하게 외전되지 않도록 조절합니다.
컴퓨터 작업이나 데스크 워크 시에는 어깨가 앞으로 말리는 자세를 피하고 견갑골을 중립 위치에 유지하는 것이 중요합니다. 30분마다 일어나서 견갑골 내전 운동을 실시하면 근육의 긴장을 완화할 수 있습니다.
수면 자세도 중요한 요소입니다. 측와위로 잘 때는 어깨 아래에 적절한 높이의 베개를 받쳐 견갑골이 과도하게 압박되지 않도록 합니다. 엎드려 자는 자세는 목과 어깨에 과도한 비틀림을 가하므로 피하는 것이 좋습니다.
운동할 때는 견갑골 주변 근육들의 균형적인 강화에 집중해야 합니다. 특히 중하부 승모근과 전거근의 강화운동을 통해 견갑골의 안정성을 높이고 동적 압박을 예방할 수 있습니다.

실제 내원 사례
30대 후반 여성 직장인이 약 8개월 전부터 시작된 우측 어깨날개뼈 통증으로 내원하셨습니다. 피트니스센터에서 요가와 필라테스를 즐겨하시던 분으로, 처음에는 단순한 근육통으로 생각하고 파스나 진통제로 버티셨습니다.
증상이 호전되지 않아 정형외과에서 근전도검사를 받았지만 특별한 이상 소견은 발견되지 않았습니다. 물리치료와 스테로이드 주사를 여러 차례 받았으나 팔을 들어올릴 때의 통증과 견갑골 부위의 불편감이 지속되어 한방치료를 찾게 되었습니다.
진찰 결과 우측 견갑골 내측 경계부의 경결과 압통이 뚜렷했으며, 팔을 90도 이상 거상할 때 견갑골 익상변형이 관찰되었습니다. 방광경과 소장경 상의 혈위에서 뚜렷한 반응점이 확인되어 배측견갑신경 주변의 기혈 정체로 진단했습니다.
침치료와 약침요법을 주 2회, 총 8주간 시행하면서 추나치료로 견갑골 정렬을 교정했습니다. 치료 4주 후부터 통증이 현저히 감소하기 시작했으며(VAS 7→4), 8주 치료 완료 시점에서는 일상생활에서의 불편감이 대부분 해소되었습니다(VAS 7→2). 현재는 월 1회 관리 치료를 받으면서 요가 활동도 재개한 상태입니다.
기존 치료에 한계를 느낄 때 어떤 선택지가 있을까요?
근전도검사에서 특별한 이상이 발견되지 않았다고 해서 신경압박 가능성을 완전히 배제할 수는 없습니다. 특히 동적 압박에 의한 배측견갑신경병증은 일반적인 검사에서 놓치기 쉬운 질환입니다. 이런 경우 한의학적 접근을 통해 다른 각도에서 문제를 바라보는 것이 도움이 될 수 있습니다.
재활치료의 효과를 높이기 위해서는 단순한 근력 강화나 스트레칭을 넘어서 견갑골의 동적 안정성을 개선하는 통합적 접근이 필요합니다. 신경전도검사 결과와 임상 증상 사이의 괴리가 있을 때는 경락과 기혈순환 관점에서의 평가가 새로운 치료 방향을 제시할 수 있습니다.
만약 현재 받고 있는 치료에서 뚜렷한 호전이 없다면, 배측견갑신경의 동적 압박 가능성과 견갑골 주변 근막의 기능적 문제를 종합적으로 평가받아보시기 바랍니다. 일산동구 지역에서 이러한 복합적 어깨 문제로 고민이시라면 언제든 상담을 통해 개인별 맞춤 치료 방향을 논의해보실 수 있습니다.